Traveling the Extra Mile: International Patient Stories (Part 2 of 2)
We welcome patients from around the globe and invite you to contact us. Here are a few of our patients who tell their stories.
Information for International Patients
Juan from Chile – Pituitary Adenoma:
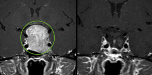
Finding the diagnosis was the hardest part. It took me a year; during that time, it was very complicated and I felt very bad. So when I finally learned in 2013 that my poor state of health was the result of a pituitary tumor and pituitary gland failure, I felt relief and had hope to improve and feel better.
The best part was certainly meeting Dr. Daniel Kelly, who already at the first visit, confirmed my diagnosis and the necessity to operate with very high chance of success. Also getting to meet the Pacific Pituitary Disorders team who coordinated everything so incredibly, conveyed to me a very important peace, especially considering the long time I had of uncertainty and worry about my health.
I was connected to Dr. Kelly by Dr. Pablo Villanueva, (Neurosurgeon Hospital of the Catholic University of Chile). He had trained for 9 months with Dr. Kelly. From his experience he knew that this was an excellent team of doctors and hospital, with excellent technology, which would help achieve success and help me get better. He was not wrong.

From the first contact via email, the team facilitated both lodging, administrative procedures, hospitalization, examination and everything having to do with the operation. We were showed the clinic, making it more familiar. Then they went through all subsequent operation processes both preoperative checks at the clinic and with neuro-ophthalmologist and endocrine consultations. That for me and my family was very calming and gave us a lot of confidence that we were in good hands. Furthermore, since we would be several days in Santa Monica, they recommended places to visit and tour.
I have the best memories of this experience after suffering so long. I found a team led by a great man, not only professionally but in human terms as well, which allowed me to be calm and confident that I would be fine and fully recovered. When Dr. Kelly said in a very simple tone “we can very likely remove the tumor 100%” I believed him. Also I want to thank Dr. Chester Griffiths (ENT), who is part of the team and a great doctor and great person.
Regards,
Juan
Santiago, Chile
Now, almost 3 years after his surgery, Juan has a fully functioning pituitary gland and is tumor-free.
For more information about pituitary adenomas, endoscopic pituitary surgery and our Pituitary Center of Excellence, contact us.
* * * * *
Donatella from Italy – Skull Base Tumor & Trigeminal Neuralgia
Maria found out about Dr. Kelly and Providence Saint John’s Health Center after her mother, Donatella discovered she had a tumor of the trigeminal nerves, possibly a trigeminal schwannoma. Here is her story:
Over a few weeks in the summer of 2014, Donatella developed intense right face pain; it hurt so much she couldn’t eat, and could hardly speak. A brain MRI showed a tumor affecting the right trigeminal nerve in the base of the skull. Most doctors initially thought this was a benign tumor of the cranial nerves called a trigeminal schwannoma. As we are Italians, we travelled all around Italy asking many neurosurgeons what they thought about it and how they would have operated. There were a lot of risks, none of them felt sure of operating because the probability of damaging her optic and auditory nerves was high as well as the risk of compromising her breathing and balance. Most of them wanted to operate through a craniotomy with a 9-day recovery but none were sure that the surgical operation would work.
We were really afraid of the uncertainty of Italian doctors and so we kept looking for a different solution when I did a web search for this pathology in English and I found Dr. Daniel Kelly. We emailed Dr. Kelly at the address we found on the website. Dr. Kelly was immediately helpful: he replied that we could send him through the cloud the MRI and he would give his medical report. In a few days Dr. Kelly called us on Skype and told us that my mother could have a schwannoma but probably she had something worse, possibly a malignant tumor. He didn’t think a craniotomy was the right option and he suggested to do a minimal invasive surgery called neuro-endoscopy (an operation through the nose to reach the tumor in the skull base with a two day recovery). We still had a lot of doubts, but Dr. Kelly’s availability, kindness, professionalism and great humanity made us believe in this chance, and finally we left for Los Angeles.
We were terrified because my mother was really weak, my parents didn’t speak English and I was not fluent, we didn’t know anything about Los Angeles and we didn’t know where we would stay. When we reached the hospital we realized everything was easier than we had thought. Dr. Kelly’s staff found us a nice room in a hotel close to the hospital and for a good price. They provided us an interpreter Ana who helped us all the time. She was so kind and helpful that we can never thank her enough for what she did, and we became great friends too. Our home and family were far away but the people at the hospital didn’t make us feel the homesickness. We spent our time there surrounded by cleanliness, efficiency, humanity and professionalism.

When Dr. Kelly and Dr. Griffiths operated they discovered, as suspected from studying the MRI, that the tumor was not benign but it was something different – a lymphoma affecting the trigeminal nerve, a rare and aggressive disease. Dr. Kelly said they knew how to treat this problem, analyze the tissue and arranged an appointment with a Saint John’s oncologist Dr. Sean Fischer. During the operation the bone around the nerve and tumor was removed and the trigeminal nerve was biopsied to obtain a diagnosis and to provide nerve decompression . Within a day of the surgery and nerve decompression my mother gradually began to feel better, allowing her to speak and eat without pain. Before the surgery, she had lost 20 kg (44 lbs) in a month because she couldn’t eat.
In Italy all the doctors had told us that after the operation my mother would spend 9 days lying on bed, she could have become blind, deaf, paralyzed and even die. Thank God we didn’t trust them and we found Dr. Kelly. The day after the operation she could stand and walk and after two days my mother left the hospital. We met many doctors who love their job and want to take care of human life. As you can read on the website, Dr. Kelly and his team operate with the most advanced techniques and everybody says in the hospital… “he is the best”. But what most struck me was that at Saint John’s Health Center, Dr. Kelly and the other doctors are extraordinary people who understand that you are afraid and they take care of your psychological aspect as well as your physical one.
Our story has a happy ending. My mother now more than 2 years after the diagnosis and initial treatment of her lymphoma, feels good and her cancer is in remission after getting focused radiation therapy at Saint John’s by Dr. Robert Wollman and chemotherapy arranged by Dr. Sean Fischer. Thank you Dr. Kelly, thank you Saint John’s Cancer Institute, thank you Saint John’s Health Center I can’t thank you enough for what you have done.
Maria and all Donatella’s family
Palermo, Italy
For more information about schwannomas, other skull base tumors, endoscopic skull base surgery or facial pain, please contact us.
* * * * *
Gili from Israel – Craniopharyngioma
At the beginning of June 2015, I was hospitalized in a hospital in Tel Aviv, Israel, after suffering from severe headaches for several months. After few days of extensive checkouts, the head of the neurosurgery department announced me that I have a tumor in my head (a benign tumor called a craniopharyngioma), and I have to go through surgery in order to remove it in the next couple days. I asked the professor if it is a life risking condition, and after a negative response, I decided to call them later on in order to set up a new date for the operation.
That was the beginning of my journey to find the best medical solution for my situation, which took me to my surgery in January 2016 at the Saint John’s Cancer Institute at Saint John’s Health Center in Santa Monica, LA, under Dr. Daniel Kelly’s Pacific Neuroscience Institute and Pituitary Disorders Center.

The first stage in my quest was to look for a surgeon in Israel; however, a good friend consulted me to look in the USA for an expert in this field. We then started to book meetings with the best surgeons in the world, first only on the east coast do to my physical weakness.
Although our intentions, after dining in an Italian restaurant in Manhattan, processing the idea we haven’t found the right surgeon yet, we decided to get on an early flight to LA, to meet with Dr. Kelly, which we heard great recommendations about.
Thanks to God, who directed us to Santa Monica to meet with the amazing Dr. Kelly and his team of Dr. Chester Griffiths (ENT-Otolaryngologist), Dr. Pejman Cohan (endocrinologist) and Ms. Amy Eisenberg (PNI Nurse Practitioner). After long meetings and thorough investigations in order to hear their opinion about my condition, we knew we found the perfect team to perform the surgery – endoscopic endonasal tumor removal.
Why did we choose them out of the 10 senior surgeons we met in America?
1. The experience they have in treating my specific kind of tumor – craniopharyngioma.
2. I met with the entire crew that was going to take care of my medical process.
3. We were impressed with the hospital’s system and high technology level.
4. I had a personal and caring connection with the hospital’s crew, including a place to express my fears and needs.
5. They were available to hear and answer my questions, even after the meetings, through email.
6. I felt I am resting my head in the best hands I could find.
7. The recommendations I heard about Dr. Kelly and the team.
In January 2016, after prior encounter with Dr. Kelly, I arrived to Santa Monica and Saint John’s Health Center for the surgery, which was very successful and went according to plans, which was to remove the majority of the tumor. When I woke up from the surgery which was inside my head, I did not feel like I was under any head operation, I did not feel any pains, and if not all the medical equipment that was attached to my body, I could have gone straight to my daily routine.
One small thing that I remember very well is that they have in the hospital a warm blanket to be covered while staying in bed.
During the 3 days that I was staying in the hospital, I was treated like in a 5-star hotel, the team that treated me was the best.
Dr. Kelly and his team proved to me that even though there is a physical distance between Israel and Santa Monica, they were available immediately when I needed, to every question, and they are still escorting me through the healing process until I recovered completely. I have now completed my focused radiation therapy under Dr. Wollman of Radiation Oncology at Saint John’s and am doing better back in Israel; the residual tumor is shrinking.
Thanks to the entire team: Dr. Kelly, Dr. Griffiths, Dr. Cohan, Mrs. Eisenberg, Dr. Sivakumar, Dr. Barkhoudarian, Dr. Wollman, and the rest of the team.
Gili
Tel Aviv, Israel
For more information about craniopharyngioma , endoscopic pituitary surgery and our Pituitary Center of Excellence, contact us.
Find out about the services we offer to our out of town and international patients in Part 1 of this two part blog.
Contributors:
Amy Eisenberg, MSN, ARNC, CNRN, PNI Nurse practitioner and clinical fellowship director.
Maricela Sandoval, Administrative Coordinator, PNI
Ana Cohoe, Quality Coordinator, Providence Saint John’s Health Center
Daniel F. Kelly, MD, PNI Director