Patient in a brain scan

Arachnoid Cysts

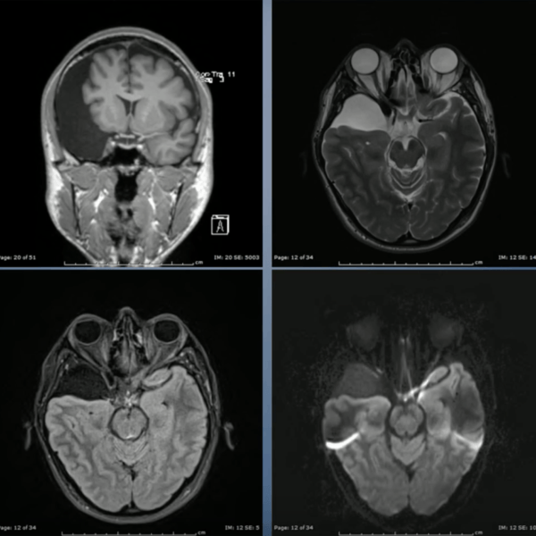
Arachnoid cysts are fluid-filled sacs that develop between the brain or spinal cord and the arachnoid membrane — one of the three protective layers surrounding the brain and spinal cord. These cysts are filled with cerebrospinal fluid (CSF) and are often discovered incidentally during brain imaging. While many arachnoid cysts remain harmless, some can grow large enough to cause pressure on surrounding structures, leading to neurological symptoms that may require treatment.

What Causes Arachnoid Cysts?

Arachnoid cysts are most commonly congenital, meaning they are present from birth. They typically develop as part of normal variations in brain formation and may slowly grow over time.

  • Congenital growth: In most cases, arachnoid cysts form before birth and may remain stable throughout life.
  • Association with other conditions: In some patients, they are associated with other brain malformations, such as Dandy-Walker Syndrome.

Symptoms

Most arachnoid cysts do not cause symptoms and are found incidentally. However, in select cases where the cyst enlarges, symptoms may occur, depending on its location and size:

  • Persistent or worsening headaches
  • Seizures
  • Nausea or vomiting
  • Balance or coordination problems
  • Visual disturbances or hearing problems
  • Weakness, numbness, or neurological deficits

If left untreated, large arachnoid cysts can continue to grow and cause significant pressure on brain structures, leading to chronic symptoms.

Diagnosis

An arachnoid cyst is often identified through:

  • Magnetic Resonance Imaging (MRI) — the most accurate imaging tool to define the cyst’s location and size.
  • CT scan — sometimes used in emergency settings or to assess calcification.
  • CT cisternogram — may be used in select cases to distinguish the cyst from normal cerebrospinal fluid pathways.

Treatment

While many do not require treatment, symptomatic or growing arachnoid cysts can be treated surgically.

Surgical Options for Arachnoid Cysts:

  • Endoscopic Fenestration:
    This minimally invasive endoscopic procedure involves creating small openings in the cyst wall, allowing the fluid to drain into the brain’s natural CSF spaces. This method can eliminate the need for a cystoperitoneal shunt.
  • Shunt Removal and Fenestration:
    In patients who have previously had a shunt placed (usually in childhood), endoscopic fenestration can sometimes allow for the removal of the shunt.
  • Cystoperitoneal Shunt Placement (when needed):
    A shunt can be surgically placed to divert fluid from the cyst into the abdomen if other procedures are not appropriate.

Arachnoid Cyst Care at Pacific Neuroscience Institute

At Pacific Neuroscience Institute®, our team of experienced neurosurgeons uses the most advanced imaging and minimally invasive surgical techniques to evaluate and treat arachnoid cysts. We carefully assess each patient to determine whether observation or intervention is the best course of action.

Contact us for an appointment.

Written and reviewed by:
We are a highly specialized team of medical professionals with extensive neurological and cranial disorder knowledge, expertise and writing experience.
Last updated: March 21, 2025